
急な痛みにも
柔軟対応
突然の歯の痛みや歯ぐきの腫れにも、事前にご連絡いただければ迅速に対応いたします。
三島市にある歯医者「ヒロ歯科医院」の公式ページをご覧頂きありがとうございます。

平成5年に開業して以来、地域の皆さまお一人おひとりとのコミュニケーションを大切にし、患者さまの不安やご希望に寄り添った治療を心がけております。虫歯や歯周病の治療はもちろん、歯科口腔外科やインプラント、小児歯科まで幅広く対応。
これからも皆さまの「かかりつけ歯科医」として、ご家族の健康なお口づくりをサポートいたします。
治療にあたって、ご希望・不安に思うこと等ありましたらお気軽にご相談ください。
About Our Clinic

突然の歯の痛みや歯ぐきの腫れにも、事前にご連絡いただければ迅速に対応いたします。

親知らずや顎関節症、口内の違和感など、一般歯科では扱いにくい症状も丁寧に診察いたします。

快適に噛める入れ歯づくりを目指し、患者さまのお悩みに真摯に向き合います。

麻酔注射の前には塗る麻酔を使用し、できる限り痛みを抑えた治療を行います。

治療は30分以内を目安に、丁寧な説明とスムーズな診療を両立しています。

治療期間や通院回数を短縮したいというご要望にも柔軟に対応しています。

広々とした待合室と完全予約制で、リラックスしてお待ちいただけます。

事前にご連絡をいただければ、治療中に小さなお子様をお預かりすることも可能です。
Insurance Treatment
ヒロ歯科医院では、虫歯や歯周病の治療だけでなく、日常的なお口のトラブルやご相談、専門的な口腔外科の分野まで、健康保険の範囲内で幅広く対応しています。定期的な検診や予防処置を通して、お口の健康を長く守るお手伝いをいたします。初診の方もお気軽にご相談ください。
Preventive & Basic Care
定期検診やクリーニングを通じて、虫歯や歯周病の予防・早期発見を目指します。
Specialized Treatment
痛みや違和感、噛みにくさなど、気になる症状には専門的な視点で丁寧に対応します。
Home & Collaborative Care
通院が難しい方や、病院との連携が必要な方へ、安心のサポート体制を整えています。
Private Treatment
健康保険では対応しきれない、見た目の美しさ・快適さ・耐久性にこだわった治療をご希望の方には、自費治療をご案内しております。費用は歯の本数や選択される材質によって異なるため、ご相談の上でお見積もりいたします。
※ご相談がない限り、こちらから自費治療を無理におすすめすることはありませんのでご安心ください。
ボタンをクリックすると、それぞれの紹介へ遷移します
For Those Who Have Lost Teeth
インプラントとは
歯のない部分のあごの骨に人工の歯根(インプラント)を埋め込み、その上に人工の歯を作る治療法です。

ふつうの入れ歯の場合

ふつうの入れ歯を
インプラントで固定する場合

インプラントという固定装置があるので、入れ歯がしっかりと安定します。
ご自身に合った治療方法を一緒に考えましょう。
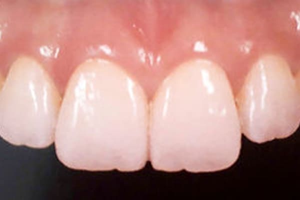
For Concerns About Tooth Color or Alignment
セラミック治療とは
歯の形や色を整えるために、セラミック製の人工歯をかぶせる審美治療です。自然な見た目と美しい仕上がりで、理想の口元を実現します。

術前

術後

術前

術後
For Those Worried About Metal Clasps
金属のバネのない入れ歯とは?
バネの代わりに特殊な樹脂(レジン)素材を使った入れ歯で、見た目の自然さと装着感の良さが特長です。


For Those Who Want to Protect Remaining Teeth
コーヌスデンチャーとは?
コーヌスデンチャーは、「内冠」と「外冠」の摩擦力によってしっかり固定される高性能な入れ歯です。見た目には金属のバネがなく、支える歯への負担も少ないのが特長です。
例えるなら「茶筒」のような仕組みです。特に引っかかりがないのに、しっかりフタが閉まる。その原理を応用しています。
当院では、最新のデジタルX線パノラマ撮影装置を導入しております。
| やさしい | 従来のX線に比べて、照射線量を約6分の1以下に軽減 |
|---|---|
| 早い | スーパーハイスピード撮影で、すぐに確認可能 |
| わかりやすい | 鮮明な画像で、患者さんへのご説明も丁寧に |
安心・納得いただける治療のために、正確な診断を心がけています。
治療の説明はどのように行われますか?
当院では、患者さまとのコミュニケーションを大切にしています。治療前にはお口の状態や治療内容について丁寧にご説明し、ご納得いただいたうえで治療を進めてまいります。ご不安な点やご希望がありましたら、遠慮なくお話しください。
急に歯が痛くなった場合、診てもらえますか?
はい、急な歯の痛みや腫れにも対応しております。まずはお電話にてご連絡ください。できる限り早くご案内できるようにいたします。
小さな子どもを連れて通院しても大丈夫ですか?
はい、当院にはキッズルームがあり、保護者の方の治療中にはお子さまをお預かりすることも可能です。ご来院の際は、事前にご連絡ください。
親知らずが痛むのですが、対応していますか?
はい、親知らずの診察・処置を行っております。ほかにも顎の違和感や口内炎、舌のできものなど、口腔外科的な症状についてもお気軽にご相談ください。
インプラント治療にはどれくらいの期間がかかりますか?
インプラント本体の埋入後、骨としっかり結合するまでに約3か月、その後の上部構造の作製に約2か月かかります。通院回数の目安は12回~15回ほどです。
治療時の痛みが心配です。
ご安心ください。当院では麻酔の注射前に塗るタイプの麻酔を使用し、注射時の痛みを軽減しています。また、治療時間は30分以内を目安としており、負担の少ない診療を心がけています。
自費治療について相談だけでも可能ですか?
もちろん可能です。自費治療については、患者さまからのご希望やご相談をもとに丁寧にご説明いたします。
| 医院名 | ヒロ歯科医院 |
| 住所 | 〒411-0816 静岡県三島市梅名516-3 |
| 電話番号 | 055-977-8241 |
| FAX番号 | 055-977-7967 |
| 院長 | 長島 保裕 |

医院入口

待合室

キッズルーム

診療室